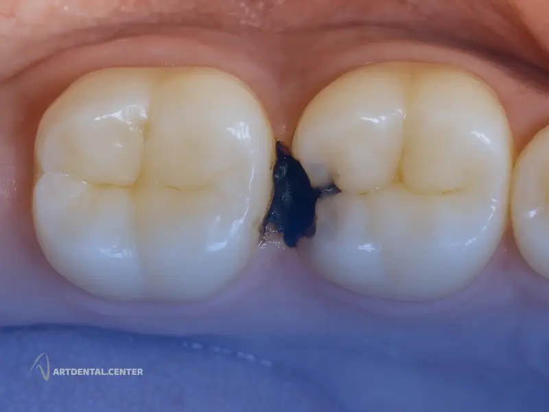
در کلینیک آرت دنتال همیشه تأکید شده که سلامت دندان تنها مربوط به سطح بیرونی آن نیست. یکی از مشکلات پنهانی و خطرناک که بسیاری از افراد دیر متوجه آن میشوند، پوسیدگی بین دندانها است. این نوع پوسیدگی معمولاً آرام و بدون درد شروع شده و تا زمانی که بیمار متوجه آن بشود، آسیب زیادی ایجاد شده است. در این مقاله، درباره تشخیص، علتها و روشهای درمان این مشکل صحبت شده تا بتوانیم سلامت دهان خود را بهتر کنترل کنیم.
پوسیدگی بین دندان چیست؟

پوسیدگی بین دندان زمانی ایجاد میشود که باکتریها در فضای بین دندانها تجمع پیدا کنند. این ناحیه را معمولاً با مسواک نمیتوان بهخوبی تمیز کرد. باقیماندن غذا در این بخش باعث تولید اسید شده و کمکم مینای دندان را تخریب میگردد.
این نوع آسیب بیشتر در دندانهای عقبی ایجاد میشود، زیرا فضای بین آنها تنگتر است.
علتهای اصلی پوسیدگی بین دندان
برخی علتهای رایج ایجادد پوسیدگی را برسی میکنیم.
۱. عدم استفاده از نخ دندان
مهمترین دلیل پوسیدگی، تمیز نکردن فضای بین دندانها است. مسواک به این ناحیه نمیرسد و باکتریها بهسرعت رشد میکنند. نخ دندان سادهترین راه برای جلوگیری از این مشکل است.
۲. رژیم غذایی شیرین و چسبنده
مواد شیرین و چسبناک مثل کارامل، بیسکوئیت یا شکلات بین دندانها گیر میکنند. این مواد محیطی مناسب برای رشد باکتری را ایجاد و باعث پوسیدگی میشوند. حتی بعد از جرمگیری دندان نیز اگر رژیم غذایی اصلاح نشود، پوسیدگی باز هم ایجاد خواهد شد.
۳. نامرتبی دندانها
زمانی که دندانها روی هم قرار میگیرند یا فاصلههای نامناسب دارند، تمیز کردن آنها سختتر شده و در این شرایط، احتمال پوسیدگی بین دندان بیشتر است. نامرتبی شدید ممکن است در آینده نیاز به روشهایی مثل پروتز ثابت یا درمانهای تکمیلی نیز داشته باشد.
۴. خشکی دهان
خشکی دهان باعث کاهش بزاق میشود. بزاق از دندانها در برابر اسید و باکتری محافظت میکند. کمبود بزاق به پوسیدگی کمک کرده و شرایط را برای تخریب سریع مینای دندان فراهم میکند.
۵. ترمیمهای قدیمی یا نامناسب
ترمیمهایی که بهدرستی اجرا نشده باشند، ممکن است در لبههای خود ناحیهای برای گیر کردن غذا ایجاد کنند. این مشکل گاهی بعد از ترمیم دندان دیده میشود و نیاز به بررسی دارد.
علائم پوسیدگی بین دندان
پوسیدگی بین دندان معمولاً دیر تشخیص داده میشود. اما برخی نشانهها میتوانند هشداردهنده باشند:
- حساسیت به نوشیدنیهای سرد یا گرم
- درد هنگام جویدن
- تغییر رنگ لبه دندان
- گیر کردن مداوم غذا بین دو دندان
- بوی بد دهان
- ایجاد حفره بین دندانها
گاهی پوسیدگی آنقدر پنهان است که تنها با عکس رادیوگرافی تشخیص داده میشود.
پوسیدگی بین دندانی چگونه تشخیص داده میشود؟

دندانپزشک با معاینه دقیق و استفاده از عکس بایتوینگ میتواند پوسیدگی را تشخیص دهد. این نوع عکس، فضای بین دندانها را نشان میدهد. بسیاری از پوسیدگیهایی که با چشم دیده نمیشوند، در عکس مشخص هستند.
روشهای درمان پوسیدگی بین دندان
چند روش برای درمان این پوسیدگیها وجود دارد.
- ترمیم دندان
اگر پوسیدگی در مرحله اولیه باشد، با برداشتن بخش پوسیده و پر کردن آن، مشکل برطرف میشود.
- درمان ریشه
اگر پوسیدگی پیشرفته شده باشد و به عصب برسد، دندان نیاز به درمان ریشه دارد. این درمان باعث نجات دندان و جلوگیری از عفونتهای شدیدتر میشود.
- پروتز ثابت یا روکش
گاهی بخش زیادی از دندان تخریب شده است. در این شرایط برای محافظت از دندان، از پروتز ثابت یا روکش استفاده میشود تا استحکام و عملکرد طبیعی دندان باقی بماند.
- جراحی لثه
اگر پوسیدگی به لبه لثه آسیب زده باشد یا التهاب ایجاد کرده باشد، ممکن است بیمار به جراحی لثه نیاز پیدا کند. این درمان التهاب را کاهش میدهد و از گسترش آسیب جلوگیری میکند.
- ایمپلنت
اگر دندان کاملاً از بین رفته باشد و امکان ترمیم وجود نداشته باشد، ایمپلنت یکی از بهترین انتخابها برای جایگزینی است. در برخی موارد، انتخابهایی مانند ایمپلنت سوئیسی به دلیل مقاومت و کیفیت بالا پیشنهاد میشود.
پیشگیری از پوسیدگی بین دندان

برای جلوگیری از پوسیدگی، رعایت چند نکته ساده کافی است:
- استفاده روزانه از نخ دندان
- مسواک زدن صحیح و منظم
- کاهش مصرف قند
- استفاده از دهانشویه فلوراید
- معاینه دورهای
- انجام جرمگیری دندان برای جلوگیری از تجمع پلاک
با رعایت این موارد، احتمال پوسیدگی به حداقل میرسد.
سؤالات متداول
در این بخش برخی سوالات پرتکرار برسی شده است.
آیا پوسیدگی بین دندان بدون درد هم وجود دارد؟
بله. بسیاری از پوسیدگیها در مراحل اولیه بیدرد هستند و تنها با عکس تشخیص داده میشوند.
آیا نخ دندان واقعاً از پوسیدگی جلوگیری میکند؟
بله. نخ دندان تنها ابزار تمیزکننده فضای بین دندان است و نقش مهمی در پیشگیری دارد.
پوسیدگی بین دندان در کودکان بیشتر است یا بزرگسالان؟
در هر دو گروه دیده میشود، اما تغذیه شیرین و عادتهای نادرست احتمال آن را در کودکان افزایش میدهد.
آیا این پوسیدگی با جرمگیری رفع میشود؟
نه. جرمگیری برای پاکسازی پلاک است. اما پوسیدگی باید ترمیم شود.
نتیجهگیری
پوسیدگی بین دندان یکی از مشکلات پنهان اما جدی دهان و دندان است. این نوع پوسیدگی بهدلیل محل قرارگیری، دیر تشخیص داده میشود و اگر بهموقع درمان نشود، میتواند به عصب برسد یا حتی موجب از دست رفتن دندان شود. با رعایت بهداشت دهان، نخ دندان روزانه، مراجعه منظم به دندانپزشک و توجه به نشانهها، میتوان از این مشکل جلوگیری کرد.
کامنتی ثبت نشده است