سنگ دندان یا تارتار به لایهای سخت و زبر از پلاکهای معدنیشده گفته میشود که روی دندانها و در امتداد خط لثه ایجاد میشود. در مراحل اولیه، پلاک دندانی که از باکتریها و باقیماندههای غذایی تشکیل شده، نرم است و با مسواک زدن یا نخ دندان به راحتی از بین میرود. اما اگر این پلاک بهمرور زمان پاک نشود، با جذب مواد معدنی از بزاق سخت شده و به سنگ دندان تبدیل میشود. این لایه سخت نه تنها زیبایی دندانها را تحت تأثیر قرار میدهد، بلکه مشکلات جدیتری مانند التهاب لثه و بیماریهای لثه(پریودنتال) ایجاد میکند. در این مقاله از مرکز تخصصی آرت دنتال در مورد علل و درمان آن بیشتر توضیح میدهیم.
سنگ دندان چیست و چگونه تشکیل میشود؟
پلاک دندانی یک لایه بیرنگ و چسبنده است که پس از هر وعده غذایی به دلیل باقی ماندن مواد غذایی روی دندانها و فعالیت باکتریهای موجود در دهان تشکیل میشود. این پلاک حاوی مواد قندی و اسیدی است که در صورت عدم پاکسازی بهموقع، به مینای دندان حمله کرده و به تدریج باعث تخریب آن میشود.
اگر پلاکها در اثر مسواک زدن و نخ دندان از بین نروند، کلسیم و فسفات موجود در بزاق دهان روی آنها رسوب کرده و بهمرور زمان باعث تشکیل سنگ میشود.

با کاشت ایمپلنت سوئیسی با خیال راحت لبخند بزنید.
مراحل تشکیل سنگ دندان چیست؟
تشکیل سنگ دندان یک فرآیند تدریجی است که طی چند مرحله رخ میدهد:
- پلاک دندانی پس از صرف غذا روی سطح دندانها تشکیل میشود. این پلاک حاوی بقایای مواد غذایی و باکتریها است و به راحتی با مسواک زدن از بین میرود.
- اگر پلاکها به مدت 24 تا 72 ساعت روی دندان باقی بمانند، بزاق دهان که حاوی مواد معدنی مانند کلسیم و فسفات است، روی آنها رسوب میکند و به تدریج لایهای سخت ایجاد میشود.
- طی چند روز تا چند هفته، پلاکهای معدنیشده به لایهای سخت و زبر تبدیل میشوند که دیگر با مسواک قابل پاکسازی نیست و نیاز به جرمگیری حرفهای توسط دندانپزشک دارد.
چه عواملی در افزایش احتمال تشکیل سنگ دندان موثر است؟
برخی عوامل میتوانند سرعت تشکیل را افزایش دهند، از جمله:
- عدم رعایت بهداشت دهان و دندان
- برخی افراد به دلیل داشتن بزاق غنی از کلسیم بیشتر مستعد تشکیل سنگ هستند.
- مصرف زیاد دخانیات و سیگار
- تغذیه نامناسب و مصرف بیش از حد مواد قندی و نشاستهای
- خشکی دهان و کمبود بزاق باعث کاهش شستوشوی طبیعی دندانها و افزایش احتمال تجمع پلاک میشود.
ایجاد سنگ دندان چه مشکلاتی به وجود میآورد؟
سنگ دندان میتواند به مشکلات زیر منجر شود:
- با ایجاد فشار روی لثه و تحریک بافتهای نرم اطراف دندان، میتواند باعث ایجاد التهاب لثه یا ژنژیویت شود. اگر این مشکل درمان نشود، ممکن است به بیماریهای شدیدتری مانند پریودنتیت منجر شود که در نهایت میتواند باعث لق شدن دندانها شود.
- با پوشاندن سطح دندان، از دسترسی مسواک به این نواحی جلوگیری کرده و به باکتریها فرصت میدهد تا به مینای دندان حمله کنند. این امر میتواند به پوسیدگی دندان و در نهایت نیاز به پر کردن یا عصبکشی منجر شود.
- تجمع باکتریها، علت بوی بد دهان است که به راحتی با بهداشت مناسب و جرمگیری حرفهای، برطرف میشود.
- معمولاً زرد یا قهوهای رنگ است و باعث تغییر رنگ دندانها و کاهش جذابیت لبخند میشود.
روشهای پیشگیری از تشکیل سنگ دندان
برای جلوگیری از تشکیل سنگ، میتوانید از روشهای زیر استفاده کنید:
- روزانه حداقل دو بار با خمیر دندان حاوی فلوراید دندانهای خود را مسواک بزنید.
- پلاکها در نواحی بین دندانی به راحتی تجمع پیدا میکنند، بنابراین استفاده از نخ دندان ضروری است.
- استفاده از دهانشویه میتواند به کاهش تعداد باکتریهای دهان و جلوگیری از تشکیل پلاک کمک کند.
- قندها و نشاستهها به تغذیه باکتریها کمک میکنند و باید مصرف آنها را محدود کرد.
- هر شش ماه یکبار به دندانپزشک مراجعه کنید تا در صورت نیاز، جرمگیری حرفهای انجام شود.

ایمپلنت اشترومن را با گارانتی در آرت دنتال تجربه کنید.
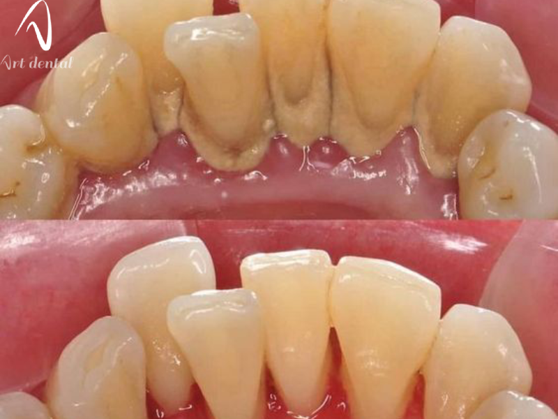
روشهای از بین بردن سنگ دندان
زمانی که سنگ دندان تشکیل شد، تنها راه حذف آن مراجعه به دندانپزشک است. دندانپزشک با استفاده از روشهای زیر، سنگهای دندانی را برطرف میکند:
جرمگیری دستی
در این روش، دندانپزشک با ابزارهای دستی مانند اسکیلر، آن را از روی دندانها جدا میکند.
جرمگیری اولتراسونیک
این روش به کمک امواج اولتراسونیک و لرزشهای شدید، آن را خرد کرده و از سطح دندان پاک میکند.
جرمگیری لیزری
روشی جدیدتر و پیشرفتهتر است که با استفاده از لیزر، بهصورت دقیق و بدون آسیب به بافتهای سالم، سنگ را از بین میبرد.
تفاوت بین سنگ دندان بالای خط لثه و زیر خط لثه
سنگ دندان در دو ناحیه مختلف از دهان تشکیل میشود:
- سنگ دندان بالای خط لثه (Supragingival Calculus)
- سنگ دندان زیر خط لثه (Subgingival Calculus)
هرکدام از این انواع ویژگیها و اثرات متفاوتی دارند که در ادامه به توضیح آنها میپردازیم:
سنگ دندان بالای خط لثه
این نوع بر روی سطح دندانها و بالای خط لثه تشکیل میشود و به راحتی قابل مشاهده است. معمولاً به رنگ سفید، زرد یا قهوهای است و ظاهر زبری دارد. به دلیل نزدیکی به غدد بزاقی، اغلب در نواحی جلویی دندانهای پایینی (فک پایین) و همچنین پشت دندانهای آسیاب بالایی، جایی که بزاق به مقدار بیشتری ترشح میشود تشکیل میشود.
این نوع، باعث ایجاد ظاهری ناخوشایند در دندانها میشود و میتواند به مرور زمان، باعث التهاب و خونریزی لثه شود. افزایش حجم سنگ در این ناحیه میتواند مانع تمیز کردن صحیح دندانها شده و به پوسیدگی دندانها منجر شود. درمان این نوع سنگ دندان به دلیل دسترسی آسانتر معمولاً سریعتر و بدون درد است. به دلیل قابل مشاهده بودن، دندانپزشک به راحتی میتواند آن را تشخیص داده و با روشهای جرمگیری دستی یا اولتراسونیک پاکسازی کند.
سنگ دندان زیر خط لثه
این نوع در زیر خط لثه و در نواحی عمیقتر لثه تشکیل میشود و به همین دلیل با چشم غیرمسلح، قابل مشاهده نیست. معمولاً به رنگ قهوهای تیره یا سیاه است، زیرا با خون و مایعات لثهای مخلوط شده و رنگ تیرهتری به خود میگیرد. این نوع سنگ دندان سختتر از سنگ دندان بالای خط لثه است و به بافتهای نرم لثه، نزدیکتر بوده و گاهی به سطح ریشه دندانها نیز میچسبد.
سنگ دندان در زیر خط لثه، عامل اصلی بیماریهای لثه مانند پریودنتیت و التهاب شدید لثه است و میتواند باعث تحلیل استخوان اطراف دندان و در نتیجه لق شدن دندانها و حتی از دست دادن دندانها شود. به دلیل موقعیت آن، باکتریها به راحتی میتوانند به بافتهای عمیقتر نفوذ کرده و عفونت ایجاد کنند.
به دلیل مخفی بودن در زیر لثه، دندانپزشک معمولاً با ابزارهای تخصصی مانند پروب پریودنتال (ابزار اندازهگیری عمق پاکتهای لثه) یا عکسبرداری رادیوگرافی وجود آن را تشخیص میدهد. درمان این نوع سنگ به روشهای پیشرفتهتری نیاز دارد که شامل جرمگیری عمیق زیر لثه یا کورتاژ لثه است. در برخی موارد پیشرفته، ممکن است نیاز به جراحی لثه یا درمانهای بازسازی بافت باشد.
مقایسه سنگ دندان بالای خط لثه و زیر خط لثه
|
ویژگیها |
سنگ دندان بالای خط لثه | سنگ دندان زیر خط لثه |
|
محل تشکیل |
روی سطح دندان و بالای خط لثه |
زیر خط لثه و نزدیک به ریشه دندان |
|
قابلیت مشاهده |
قابل مشاهده با چشم |
غیر قابل مشاهده با چشم (نیاز به ابزار تخصصی) |
|
رنگ |
سفید، زرد یا قهوهای روشن |
قهوهای تیره یا سیاه |
|
سختی در پاکسازی |
آسانتر و سریعتر پاک میشود |
سختتر و نیاز به جرمگیری عمیق دارد |
|
عوارض اصلی |
التهاب و خونریزی لثه، پوسیدگی دندان |
بیماریهای پریودنتال، تحلیل لثه و استخوان |
| روش درمان | جرمگیری سطحی با ابزار دستی یا اولتراسونیک |
جرمگیری عمیق، کورتاژ لثه یا جراحی |
چرا سنگ دندان زیر خط لثه خطرناکتر است؟
سنگ دندان زیر خط لثه خطرناکتر از بالای خط لثه است، زیرا:
- به دلیل موقعیت آن در زیر لثه، اغلب تا زمانی که علائمی مانند التهاب شدید یا خونریزی لثه ظاهر نشود، تشخیص داده نمیشود.
- این نوع سنگ دندان به بافتهای عمیقتر نفوذ میکند و میتواند باعث عفونت لثه و حتی تخریب استخوان فک شود.
- سنگ دندان زیر لثه باعث تشکیل پاکتهای لثهای میشود که محل تجمع باکتریها بوده و به مرور زمان عفونت و التهاب را افزایش میدهد.
- درمان این نوع، نیاز به روشهای پیشرفتهتر مانند جرمگیری عمیق یا جراحی لثه دارد که زمانبر و گاهی دردناک است.

تأثیر مصرف داروها بر تشکیل سنگ دندان
مصرف برخی داروها میتواند تأثیر مستقیم یا غیرمستقیمی بر تشکیل آن داشته باشد. این داروها از طریق تغییر در ترکیب بزاق، کاهش ترشح بزاق، یا ایجاد خشکی دهان (زروستومیا) به تشکیل پلاکهای معدنیشده و در نهایت سنگ دندان کمک میکنند. در ادامه به بررسی داروهای مؤثر و مکانیسم اثر آنها میپردازیم.
داروهای کاهشدهنده ترشح بزاق
بزاق نقش بسیار مهمی در شستوشوی طبیعی دندانها و جلوگیری از تجمع پلاکهای دندانی دارد. داروهایی که باعث کاهش ترشح بزاق میشوند، میتوانند به ایجاد محیطی مناسب برای تجمع پلاک و در نتیجه تشکیل سنگ دندان منجر شوند. از جمله این داروها میتوان به موارد زیر اشاره کرد:
- داروهای آنتیهیستامین (مانند دیفنهیدرامین)
- داروهای ضدافسردگی سهحلقهای (مانند آمیتریپتیلین)
- داروهای ضداضطراب (مانند بنزودیازپینها)
- داروهای ضد فشار خون (مانند بتابلاکرها و دیورتیکها)
- داروهای ضدپارکینسون (مانند لوودوپا)
خشکی دهان ناشی از این داروها باعث کاهش جریان بزاق میشود. با کاهش بزاق، میزان شستوشوی طبیعی دندانها کاهش یافته و پلاکها مدت بیشتری روی سطح دندان باقی میمانند. این پلاکها در صورت پاک نشدن به مرور زمان سخت شده و به سنگ دندان تبدیل میشوند.
داروهای حاوی کلسیم
برخی داروهای مکمل و درمانی که حاوی مقادیر زیادی کلسیم هستند، میتوانند باعث افزایش تشکیل آن شوند. نمونههایی از این داروها عبارتند از:
- مکملهای کلسیم
- داروهای ضداسید حاوی کلسیم
- داروهای ویتامین D
افزایش غلظت کلسیم در بزاق دهان باعث تسریع فرایند معدنی شدن پلاکهای دندانی میشود. پلاکهای نرم بهسرعت با رسوب کلسیم سخت شده و به سنگ دندان تبدیل میشوند. این امر بهویژه در افرادی که بهداشت دهان و دندان را به خوبی رعایت نمیکنند، شایعتر است.

داروهای ایجادکننده تغییرات در لثه
برخی داروها باعث هیپرپلازی لثه (رشد بیش از حد بافت لثه) میشوند. این حالت میتواند باعث ایجاد پاکتهای لثهای عمیق شود که محیط مناسبی برای تجمع پلاک و تشکیل سنگ دندان است. مهمترین داروهای ایجادکننده هیپرپلازی لثه عبارتند از:
- داروهای ضدتشنج (مانند فنیتوئین)
- داروهای سرکوبکننده سیستم ایمنی (مانند سیکلوسپورین)
- داروهای مسدودکننده کانال کلسیم (مانند نیفدیپین و آملودیپین)
رشد غیرطبیعی لثه میتواند، باعث پوشانده شدن بخشی از دندانها و ایجاد فضاهای باریک و غیرقابل دسترسی برای تمیز کردن دندانها شود. این فضاهای محصور شده، محل تجمع پلاکهای دندانی هستند که در نهایت به تشکیل سنگ دندان منجر میشوند.
داروهای شیمیدرمانی
بیمارانی که تحت درمان با داروهای شیمیدرمانی قرار میگیرند، اغلب با مشکلاتی مانند خشکی دهان، کاهش ترشح بزاق و التهاب مخاط دهان مواجه میشوند. این شرایط میتواند به تجمع پلاک و افزایش سرعت تشکیل سنگ دندان منجر شود. داروهای شیمیدرمانی علاوه بر کاهش بزاق، سیستم ایمنی بدن را نیز تضعیف میکنند. این امر باعث میشود که بدن نتواند بهخوبی باکتریهای موجود در پلاکهای دندانی را کنترل کند. در نتیجه، پلاکها سریعتر به سنگ تبدیل میشوند و خطر عفونتهای لثه نیز، افزایش مییابد.
داروهای آنتیبیوتیک
اگرچه آنتیبیوتیکها به کاهش عفونتهای دهان و دندان کمک میکنند، مصرف طولانیمدت برخی از آنتیبیوتیکها میتواند باعث تغییر فلور طبیعی دهان شود. این تغییرات ممکن است به رشد برخی از باکتریهای خاص و تجمع پلاکهای سخت روی دندانها منجر شود.
داروهای ضدالتهاب غیر استروئیدی (NSAIDs)
مصرف طولانیمدت داروهای ضدالتهاب غیر استروئیدی مانند، ایبوپروفن میتواند منجر به خشکی دهان و افزایش خطر تشکیل سنگ دندان شود.
چگونه میتوان از تأثیر منفی داروها بر تشکیل سنگ دندان جلوگیری کرد؟
اگر مجبور به مصرف داروهایی هستید که خطر تشکیل سنگ را افزایش میدهند، میتوانید با رعایت برخی نکات از مشکلات ناشی از آنها جلوگیری کنید:
مسواک زدن حداقل دو بار در روز با خمیر دندان حاوی فلوراید
استفاده منظم از نخ دندان و دهانشویههای ضدباکتری
نوشیدن آب به مقدار کافی میتواند به شستوشوی دندانها و کاهش خشکی دهان کمک کند.
در صورت خشکی دهان ناشی از مصرف دارو، میتوان از بزاق مصنوعی یا آدامسهای مفید دندان بدون قند برای تحریک بزاق استفاده کرد.
افراد تحت درمان با داروهای مؤثر بر تشکیل سنگ، باید بهطور منظم به دندانپزشک مراجعه کرده و در صورت نیاز جرمگیری انجام دهند.
جمع بندی
سنگ دندان یا تارتار لایهای سخت است که از پلاکهای دندانی به وجود میآید و در صورت عدم پاکسازی بهموقع، به سنگ تبدیل میشود. این سنگ میتواند باعث مشکلاتی مانند التهاب لثه، بیماریهای لثه، پوسیدگی دندان و بوی بد دهان شود. عواملی چون عدم رعایت بهداشت دهان، تغذیه ناسالم و خشکی دهان میتوانند سرعت تشکیل سنگ را افزایش دهند. پیشگیری شامل مسواک زدن منظم، استفاده از نخ دندان و مراجعه به دندانپزشک است. اگر سنگ دندان تشکیل شود، برای حذف آن باید به دندانپزشک مراجعه کرد.
کامنتی ثبت نشده است